Periodontal Disease

Periodontal Disease (Gum Disease) is one of the most common bacterial infections in people worldwide, as well as one of the reasons for tooth loss.

It is mostly a result of poor oral hygiene that causes inflammation to the supporting tissues, such as the gums and bone, around the teeth.

Plaque, known also as oral Biofilm, is a sticky film formed from food remains and saliva mixed with bacteria in the mouth, which accumulates and sticks to the surface of the teeth and around the gum line. Bacteria also find their way deeper into the body and may cause serious disorders like diabetes and cardiovascular and other common diseases.

Over time, it hardens and turns into calculus/tartar, which cannot be removed by brushing. Instead, it needs professional methods of cleaning to be removed.

Gingivitis

Gingivitis is the initial stage of gum disease. The first signs of gingivitis are red and swollen gums that bleed easily when brushing and flossing.

It is typically caused by plaque (Bioflim) build-up on the teeth and the gumline. As plaque advances, it hardens and becomes tartar, gum infection may occur when it extends below the gum line. Especially when caught early on, non-surgical therapy has been effective in treating gingivitis, since it removes plaque and calculus, thus reducing the growth of harmful bacteria.

At this stage, a Guided Biofilm therapy also known GBT, can solve the matter and reverse the damage. Left untreated, gingivitis can progress to periodontitis, which may lead to more severe conditions and complications such as damage to the soft tissue and bone supporting the teeth and eventually loss of teeth.

Periodontitis

Periodontitis is an advanced stage of gum infection which can cause serious teeth and oral complications. It is a silent disease that can exist without symptoms or pain in the early mild stages. While it becomes more severe and reaching to an advanced stage, it can affect and destroy the bone and the tissue that support the teeth thus leading to tooth loss. The first signs of periodontitis are generally bleeding of the gums, recession and exposed root surfaces.

To avoid reaching this stage, our Periodontist advises to do a regular periodontal hygiene using GBT protocol at our clinic as the normal brushing can’t remove the calculus/tartar which is caused by remaining food stayed in mouth for long time. When tartar is not removed, bone resorption occurs, resulting in periodontal pockets and tooth loss.

Smoking, chewing tobacco, hormonal fluctuations during puberty, pregnancy, and menopause, as well as stress, diabetes, crooked and overlapping teeth, mouth breathing, and a poor diet can also contribute to gum disease. Some medications can also cause gum tissue overgrowth, making teeth cleaning difficult, which can lead to gum disease.

Non-Surgical Periodontal Treatment

Deep Scaling & Root Planning

Deep scaling and root planning are procedures that remove plaque and calculus along the gum line and are used to treat Gingivitis, mild and moderate periodontitis (gum disease). Scaling removes the plaque and tartar, while root planning helps smoothen the roots of the teeth, enabling the gums to reattach to the teeth.

Scaling and root planning may require a local anesthesia and may take more than one visit to complete. Depending on the severity of the case, laser treatment may sometimes be suggested by the dentist as an additional help.

Non-Surgical Periodontal Treatment

Occlusal Adjustment

Occlusal adjustments are meant to correct bite issues caused by patients who clench their teeth thus leading to shifting teeth or even loosening the teeth. It is critical to balance and evenly distribute forces on the teeth during biting and chewing so that tooth mobility and pressure on bone and gums are reduced.

In order to achieve better results, correcting the patient’s periodontal status is an essential part of their treatment plan.

Surgical Periodontal Treatment

Crown Lengthening Surgery

It may not be possible to restore a tooth that is deeply decayed or damaged near or below the gum line. In this situation, we may suggest a crown lengthening procedure to increase the long-term success rate.

This surgical procedure enables us to expose more of your tooth structure, effectively adjust the level of the gum and bone and restore the tooth’s natural function and form.

Crown lengthening can also be performed in the case of a “gummy smile,” which occurs when gum tissue and bone structure are removed, improving the aesthetic outcome and balancing “face and smile”.

Surgical Periodontal Treatment

Pocket Elimination Surgery

Advanced periodontal disease often causes deep pockets between the gums and your teeth, which cannot be treated by conventional non-surgical therapy. We may recommend a surgical procedure in this situation.

You may develop deep pockets between your teeth and gums as a result of advanced periodontal disease, which is generally untreatable without surgery.

Our approach is to begin with non-surgical treatment, and then, after six months to a year, determine which areas will require surgical intervention. As the severity of bone loss increases, the recovery time will typically lengthen. Therefore, it is best not to allow the condition to advance too much.

During the pocket elimination surgery, the gum tissue is folded back and the diseased tissue and associated bacteria are removed. The gum tissue is then placed at a new level that helps patients maintain a clean area after the procedure. As a result, you will have a healthier mouth and an increased chance of keeping your natural teeth.

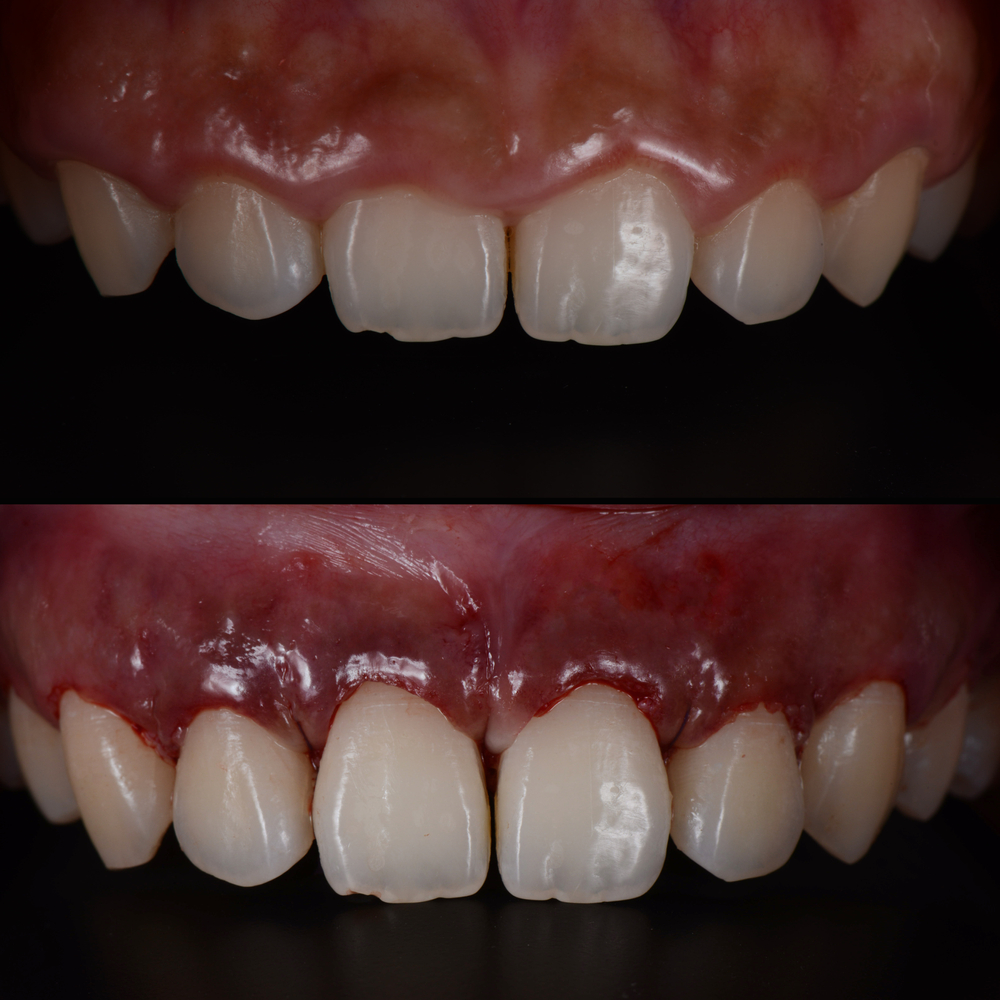
Tissue Graft Surgery

A very common complaint among patients is an exposed root surface, which can often occur as a result of gum recession. Our specialists can repair your receding gums and restore them to their normal form and function.

There are several causes for gum recession, including infection, teeth grinding, and overly aggressive brushing by patients.

To prevent further gum recession and bone loss, a tissue graft can be used to cover exposed and sensitive roots. During this procedure, connective tissue is taken from the palate and transplanted into a tunnel formed around receded gum tissue. Graft tissue transplants are performed in our clinic under local anaesthesia and require a relatively short period for recovery.

Periodontitis Symptoms

A healthy gum line fits snugly around the teeth and is pink and firm. Signs and symptoms of periodontitis can include:

  • Swollen or puffy gums
  • Bright red, dusky red or purplish gums
  • Tender gums
  • Gums that bleed easily
  • Pink-tinged toothbrush after brushing
  • Spitting blood when brushing or flossing teeth
  • Bad breath
  • Pus between the teeth and the gums
  • Loose teeth or loss of teeth
  • Gaps developing between teeth
  • Receding gums
  • A change in the way the teeth fit together when biting

Risk factors

Factors that can increase your risk of periodontitis include:

  • Poor oral health habits
  • Smoking or chewing tobacco
  • Hormonal changes, such as those related to pregnancy or menopause.
  • Recreational drug use, such as smoking marijuana or vaping
  • Inadequate nutrition, including vitamin C deficiency
  • Certain medications that cause dry mouth or gum changes
  • Conditions that cause decreased immunity, such as leukemia, HIV/AIDS and cancer treatment
  • Certain diseases, such as diabetes, rheumatoid arthritis and Crohn’s disease

services

Related Services

services

Why Choose us

Lorem ipsum dolor sit amet,

Lorem ipsum dolor sit amet,

Lorem ipsum dolor sit amet,

Lorem ipsum dolor sit amet,

Reach out to us to make an enquiry or book an appointment.

FAQS

FAQS

Gum diseases result from an accumulation of bacterial plaque on the teeth along the gum line. Those toxins, released by the bacteria in plaque, can cause irritation to the gums surrounding teeth, which can lead to infection and other problems.

Yes, people who suffer from gum disease in the primary stage may benefit from deep scaling and root planning.

If the gum disease is left untreated, it causes the loss of the supporting tissues and eventually the tooth. An infection can increase the risk of heart disease, stroke, or diabetes if it spreads.

© Copyright 2026 German Dental. design by digital connection | All rights reserved | Privacy policy | MOH # WZ84753

Basic Message

  • Toggle WP Debug
  • Change page to homepage
  • Create Page

    Create page template
  • Reset Permalink
  • Create User Type

    Assign role

  • Remove User Type
  • Create Custom Post Type

    No of Post in Archive

    Supports

  • Create Template Part


  • Change admin email

Mail Message

Translate all the messages of the form

Visit Google Translate translate to desire language and paste below:

Apply Custom Fields

AboutLocation: page
Teams
Procedure
Advantages
ContactLocation: page
Opening time
Extra Field for ServicesLocation: post_type
Extra Info
Faq
HomeLocation: page
Why us
reviews
TeamLocation: post_type
Thumbnail ImageLocation: post_type
  • Change link to admin page

Pages

🔍

WPML – Custom Fields JSON


1. Copy JSON from current page/post

Click the button below while you are on a post / page / custom post edit screen. It will read all custom fields (post meta) for this item and output them as JSON.

Original JSON (source language)

The “Copy for AI” button will prepend an instruction like:
Translate this JSON to French. Only return JSON, easy to copy.


2. Paste translated JSON and update fields

Translate the JSON above using AI or any tool, then paste the translated JSON here (keep the same structure and keys).

⚠ Use this only on the correct translated post / page (WPML language version).

×